Study finds growing levels of microplastics in human brains

Feb 17, 2025 - 20:45
 0  0
Study finds growing levels of microplastics in human brains
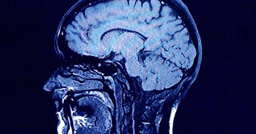
Human brains contain higher concentrations of microplastics than other organs, according to a new study, and the amount appears to be increasing over time.

What's Your Reaction?

Like Like 0
Dislike Dislike 0
Love Love 0
Funny Funny 0
Angry Angry 0
Sad Sad 0
Wow Wow 0